Cabinet dentaire du Dr Aurélie ROLLING
CHIRURGIEN-DENTISTE À RIOZ 2A rue du bien-être
Cabinet dentaire du Dr Aurélie ROLLING

2A rue du bien-être
70190 RIOZ

CHIRURGIEN-DENTISTE À RIOZ 2A rue du bien-être

Les prothèses - Page 3

Traitement d'une carie par inlay/onlay

Traitement d'une carie par inlay/onlay

Maxillaire all-on-6 et comblement de sinus

Maxillaire all-on-6 et comblement de sinus

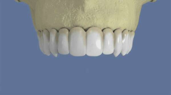
Facettes

Facettes

Comblement de sinus par voie latérale (sinus lift) avec implantation différée

Comblement de sinus par voie latérale (sinus lift) avec implantation différée

Maxillaire : bridge vissé sans fausse gencive

Maxillaire : bridge vissé sans fausse gencive

Bridge transvissé 4 dents

Bridge transvissé 4 dents

Affichage des articles 13-18 sur 37